.jpg)
The small brown marsupial, collected in remote jungle among the mountains of Irian Jaya by a former director of the South Australia Museum, wasn’t expected to be anything special.
That’s probably why it sat in a box for almost 30 years.
But now a team has discovered the specimen, an adult female, is in fact an entirely new species of bandicoot.
An unexpected discovery indeed – considering new animal species like the bandicoot, now dubbed Peroryctes trigonodon, are rarely found nowadays.

The specimen was collected in 1994 by mammalogist Tim Flannery, who went on to become a prominent author, environmentalist and Director of the South Australian Museum (1999-2006).
It was found on a field trip to the township Kwiyawagi in the West Baliem River valley of West Papua in New Guinea.
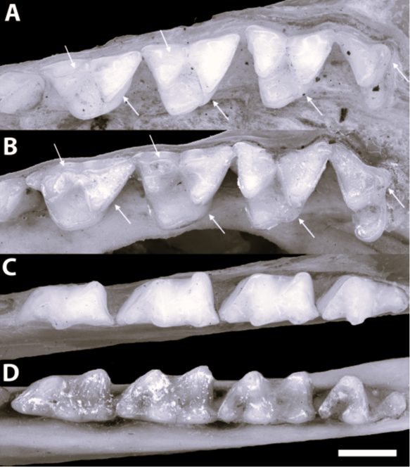
The breakthrough occurred when the team’s lead researcher Dr Kenny Travouillon and Dr Kristofer Helgen both found the long-forgotten specimen had more triangular molars.
P. trigonodon’s molars are what set it apart from the other two known and near identical species in the group, P. raffrayanus (image at top in 1878) and P. broadbentii, which are endemic through New Guinea.
Dr Travouillon is Curator of Mammals at the WA Museum, while Dr Helgen is currently at the Bishop Museum in Honolulu but is a past Honorary Researcher at the South Australian Museum.
“The discovery emerged from a seven‑year taxonomic study that included re‑examining specimens from the Australian Museum’s collection, first documented decades ago in a mountainous village,” Dr Travouillon said.
“Specimens like these often gain new significance when fresh research is applied.
“This is why museum collections are so important. They let us return to historical specimens with fresh questions, revealing species we didn’t know were missing and informing future conservation efforts.”

In 1994, Kwiyawagi was the largest human settlement in the valley, and sat at an elevation of almost 3000m. It was home to about 1,000 people.
Interestingly, Kwiyawagi appears to no longer exist - recent satellite images show it has been consumed by an Indonesian military base.
In the local Lani language, the bandicoots are known as wablo, and their new scientific name comes from the combination of ‘trigon’ and ‘odon’ meaning triangular tooth in ancient Greek.

The new name gives a hint how the specimen was identified as new species. Other from than that, little is still known about P. trigonodon, apart from it being rare and probably endangered.
Dr Steve Cooper, who is Principal Researcher in Evolutionary Biology, and bioinformatics researcher Dr Terry Bertozzi, both at the South Australian Museum, were also part of the team.
They worked at trying to tease DNA sequence information from the specimen.
Dr Cooper said unfortunately the wablo’s DNA had broken down during the years of storage and little could be learned.
“It was a big shame,” Dr Cooper said. “Terry and I did the analysis but couldn’t find enough viable DNA sequences to accurately place the specimen into the bandicoot family tree. DNA work has become a fundamental part of taxonomic work and allows us to build the family tree much more rigorously.
“New technology continues to be developed and that may make it possible to get more DNA sequences from the specimen in the future. I wouldn’t rule it out.”
The full paper, titled A new species of bandicoot in thegenus Peroryctes (Marsupialia: Peramelemorphia) from Kwiyawagi, West Baliem Valley of Papua Province, Indonesia can be found in the journal Records of the Australian Museum.
You can read more about the South Australian Museum’s mammal collection on our website.